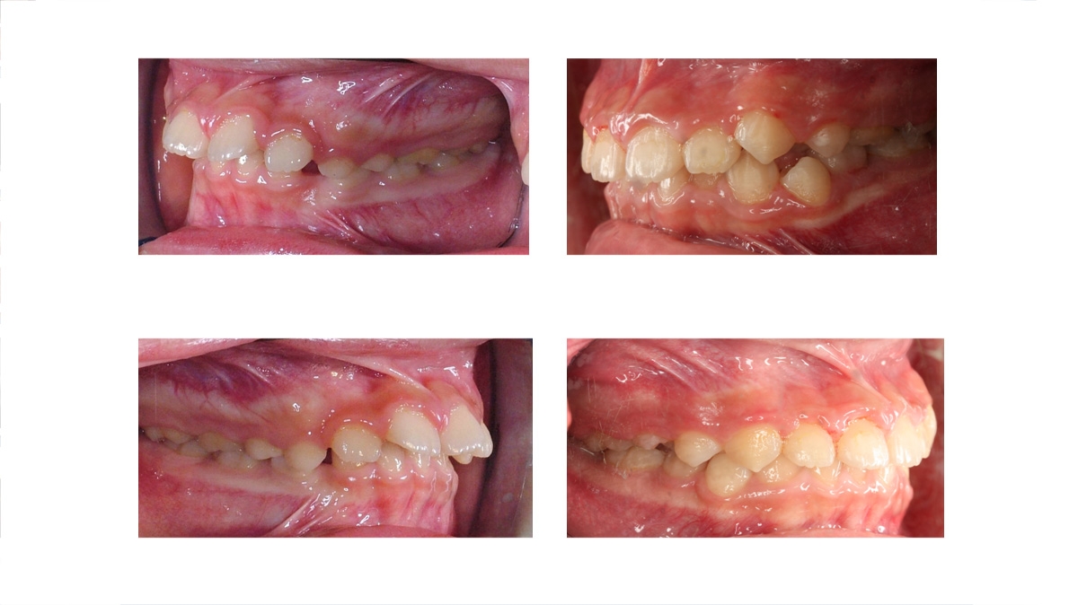
兒童牙齒矯正 兒童牙齒矯正案例二 By 台北牙齒矯正 In 黃子傑醫師 所謂的「兒童牙齒矯正黃金時機」,是指利用兒童的生長發育期 (正在換牙期間的小朋友)來做上下頜骨的調整,而以最少的時間,達到最好的牙齒矯正治療效果,基本上是約在小學4~6年級,主要是在這個階段牙齒的發育已接近換牙完成,稱之為「黃金矯正時機」 回上一頁