洛杉磯齒顎矯正擁有國內外許多的矯正案例,為您提供最優質的牙齒矯正服務。

台北牙齒矯正、齒顎矯正、天母牙齒矯正

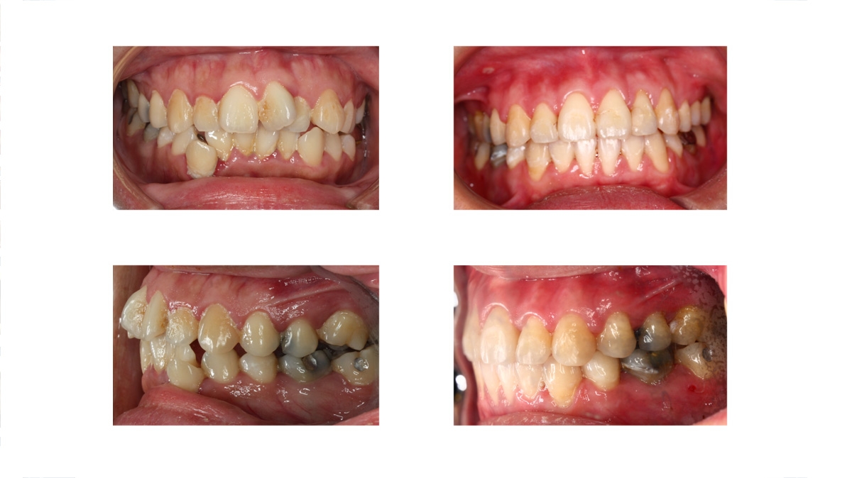
Before/After

美式矯正.專業呵護

Friendiy and Professional Medical Team